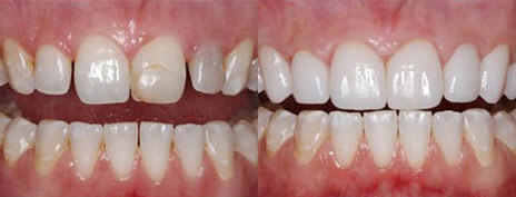
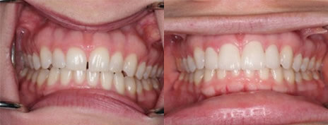
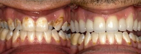
Porcelain Veneers Porcelain Veneers Porcelain Veneers Bonding Crowns Porcelain Crowns & Veneers Dental Implants Dental Implants Denture Stabilization Invisalign® Invisible Braces Invisalign® Invisible Braces Invisalign® Invisible Braces Gum Recontouring Whitening
 

Practice Contact Information

(908) 238-8238
1225 Hwy 31, Bldg B, Ste 224
Lebanon, NJ 08833
Mon
10:00am to 7:00pm
Tue
9:00am to 5:00pm
Wed
10:00am to 7:00pm
Thu
10:00am to 6:00pm
Fri
10:00am to 1:00pm
Sat
9:00am to 1:00pm
Request an Appointment